“Doctor, my child just won’t cooperate for dental treatment — what are our options?”
If you’re a parent in Dubai facing this challenge, you’re not alone.
At Vanilla Smiles – Pediatric Dental Clinic, Pune, we specialize in Full Mouth Rehabilitation under General Anaesthesia (GA) for children.
Led by Dr. Abhishek Soni – Pune’s First IAPD Fellow (International Association of Paediatric Dentistry) – our dental clinic in Pune has successfully completed over 100 full-mouth rehabilitation cases under GA, including several families who travelled from Dubai and Abu Dhabi for this life-changing, tear-free experience.
What Is Full Mouth Rehabilitation under GA?
It’s a comprehensive dental treatment performed in one sitting while your child sleeps peacefully under safe, hospital-grade anaesthesia.
• No repeated visits
• No crying
• No fear
• No traumatic memories
Just one calm sleep — and your child wakes up with a pain-free, confident smile.
Why Parents from Dubai Choose Pune for Full Mouth Rehabilitation
1. Expertise You Can Trust
Dr. Abhishek Soni, MDS (Pediatric & Preventive Dentistry), is Pune’s first IAPD Fellow — recognized globally for excellence in children’s dental care.
With 100+ successful GA cases, Dr. Soni and his team have become one of India’s most trusted pediatric dental specialists.
2. Safe, Hospital-Based Setup
All procedures are conducted in child-friendly hospitals with certified pediatric anaesthesiologists, ensuring maximum safety, hygiene, and comfort.
3. Seamless International Coordination
We assist families from Dubai, Abu Dhabi, Sharjah, and Oman with:
• Online consultations
• Transparent cost estimates
• Travel and treatment coordination
• Post-treatment video follow-ups
4. Cost Advantage with International Quality
Parents often save up to 70% compared to treatment costs in Dubai — without compromising on materials, technology, or safety standards.
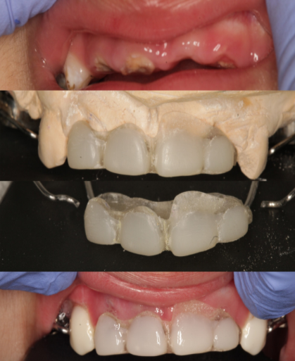
5. Advanced Materials & Aesthetic Restorations
We use:
- Zirconia & Stainless Steel Crowns
- Laser-assisted dentistry
- Bioflex & Bioactive composites
- Painless, minimally invasive techniques
A Typical Parent Conversation
Parent (Dubai): “Doctor, can everything really be done in one day?”
Dr. Soni: “Yes. Under general anaesthesia, we restore every affected tooth safely in one sitting — while your child sleeps peacefully. When they wake up, everything is already done.”
Video Testimony – From Dubai to Pune: A Parent’s Journey
Watch how a Dubai family found a tearless dental solution for their 4-year-old through Full Mouth Rehabilitation under GA at Vanilla Smiles, Pune.
Written Reviews from Parents
“We travelled from Dubai to Pune after several failed attempts locally. Dr. Soni and his team handled everything — from online consultations to GA coordination. My son’s smile says it all!” — Parent, Dubai
“We were nervous about general anaesthesia, but everything was so smooth and professional. All teeth treated in one go. Absolutely worth flying down!” — Parent, Abu Dhabi
“Dr. Soni’s compassion and expertise are unmatched. My daughter’s fear is gone, her smile is back!” — Parent, Sharjah


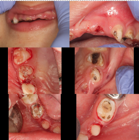
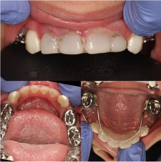
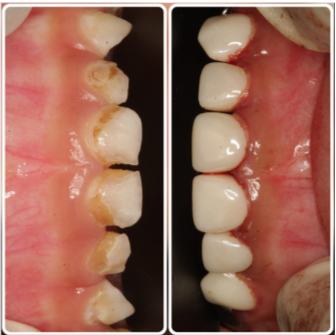
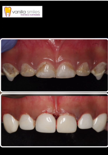
Before–After Smile Transformations
Before: Multiple decayed, broken primary teeth causing pain and discomfort.
After: Full rehabilitation under GA — restored, natural-looking teeth and a confident smile.

Before

After

Before

After





Is GA Safe for My Child?
Absolutely yes. Under expert supervision by trained paediatric anaesthesiologists, GA is a safe and globally accepted procedure for pediatric dental rehabilitation.
Every step — from pre-operative screening to post-op recovery — is carefully monitored.
Your child is never alone; safety is always our top priority.
Why Parents Recommend Vanilla Smiles
✔ Over 200 successful Full Mouth Rehabilitation cases under GA
✔ Pune’s First IAPD Fellow Pediatric Dentist
✔ Laser & minimally invasive technology
✔ Hospital-based, child-safe environment
✔ Trusted by Dubai and international families
✔ One sitting, painless, complete care
Why Pune Is Ideal for Dubai Families
• Just a 3-hour flight from Dubai
• Affordable, high-quality healthcare
• Personalized international patient support
• Calm, family-friendly city with excellent connectivity
A Smile Worth Traveling For
Full Mouth Rehabilitation under GA isn’t just a dental procedure — it’s a transformation of comfort, confidence, and care.
At Vanilla Smiles, Pune, we’ve made it our mission to ensure no child ever fears dental treatment again — no matter where they come from.
Plan Your Child’s Dental Journey from Dubai Today
Vanilla Smiles – Pediatric Dental Clinic, Pune, India
Dr. Abhishek Soni, MDS (Pediatric & Preventive Dentistry)
Pune’s First IAPD Fellow (International Association of Paediatric Dentistry)
Find clinic here: Get direction
Call Now: +917028029383 /+919860633281
Address: Soni Capital, 2nd Floor, Near Shreyas Hotel, 1237, Apte Road, Shivaji Nagar, Pune, Maharashtra 411004 India



