Dental cavities are one of the most common oral health problems in children. For many parents, taking their child to a dentist can be stressful—especially if the child is anxious, very young, or has had a painful dental experience in the past. Thankfully, modern pediatric dentistry now offers Silver Diamine Fluoride (SDF), a safe and non-invasive solution to manage cavities in kids.
At Vanilla Smiles Dental Clinic in Shivaji Nagar, Pune, advanced and child-friendly dental care is provided under the expertise of Dr. Abhishek Soni, Pediatric Dentist (Kid’s Dental Specialist), along with Dr. Namrata A. Soni, Implant & Restorative Dentist. The clinic is known as a trusted dental clinic in Pune for gentle, evidence-based treatments for children.
What Is Silver Diamine Fluoride (SDF)?
Silver Diamine Fluoride (SDF) is a liquid medication used to stop the progression of dental cavities without drilling or injections. It has been widely used worldwide and is now gaining popularity as a modern cavity treatment for kids.
SDF contains:
- Silver – helps kill bacteria causing tooth decay
- Fluoride – strengthens tooth enamel and prevents further decay
This combination makes SDF an effective and painless alternative to traditional cavity treatments.
Why Is SDF a Game-Changer in Pediatric Dentistry?
Traditional cavity treatment often involves drilling, injections, and restorations, which can be challenging for young or anxious children. SDF offers a stress-free approach, making it a preferred option at leading pediatric dental clinics.
Key Benefits of SDF for Kids
1. Completely Painless
No drilling, no injections, and no discomfort. This makes SDF ideal for toddlers, preschoolers, and children with dental fear.
2. Quick & Non-Invasive
The application takes just a few minutes, making it perfect for children who find it hard to sit for long dental procedures.
3. Stops Cavities from Growing
SDF does not remove decay but arrests it, preventing cavities from getting deeper or spreading.
4. Safe for Young Children
SDF is clinically proven and safe when applied by an experienced pediatric dentist in Pune.
5. Avoid or Delay General Anesthesia
SDF helps manage cavities without drilling, which can reduce or completely avoid the need for dental treatment under general anesthesia in young or uncooperative children.
6. Reduce Tooth Sensitivity and Pain
By stopping active decay and sealing exposed dentin, SDF significantly reduces tooth sensitivity and relieves pain caused by cavities.
7. May Avoid Root Canal Treatment
Early application of SDF can arrest cavity progression, potentially preventing the infection from reaching the tooth pulp and avoiding the need for root canal treatment in primary teeth.
8. More Comfortable Treatment Option for Children with Special Needs
SDF is a quick, non-invasive, and stress-free option, making it especially suitable for children with special healthcare needs who may not tolerate traditional dental procedures.
9. Space Maintenance for Permanent Teeth
By preventing further decay in primary teeth and avoiding early extractions, SDF helps maintain proper space for the healthy eruption of permanent teeth.
10. Cost-Effective Treatment
Compared to fillings, crowns, or procedures under sedation or anesthesia, SDF is an affordable and economical solution for managing dental cavities in children.
How Does SDF Treatment Work?
At Vanilla Smiles Dental Clinic, the SDF procedure is simple and child-friendly:
- The affected tooth is cleaned and dried
- SDF solution is carefully applied to the cavity
- The liquid penetrates the decayed area and stops bacterial activity
- The child can resume normal activities immediately
No anesthesia or drilling is required.
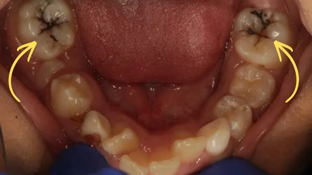
SDF Treatment: Before & After Results

SDF as a Sealant

Silver Diamine Fluoride (SDF) can also be effectively used as a protective sealant for children’s teeth. When applied on early carious lesions or deep pits and fissures, SDF acts as a barrier that prevents bacteria from entering and progressing further.
As a sealant, SDF:
- Protects vulnerable tooth surfaces from decay
- Strengthens enamel using fluoride
- Stops early-stage cavities before drilling is required
- Works well for newly erupted molars and primary teeth
In pediatric dentistry, using SDF as a sealant supports preventive and minimal intervention dentistry, especially for young children who are not ready for conventional sealants or fillings.
One Important Thing Parents Should Know
After SDF application, the treated cavity turns black.
This discoloration indicates that the decay has been successfully stopped.
Dr. Abhishek Soni explains this clearly to parents before treatment, ensuring full transparency. In visible areas, SDF may be used temporarily until the child is old enough for a permanent restoration.
” Don’t worry about looks, it can always be managed. Let’s fight the disease with SDF, the “cavity fighting liquid”
When Is SDF Recommended for Children?
SDF is commonly advised in the following situations:
- Early childhood cavities
- Very young children who cannot cooperate for drilling
- Children with dental anxiety or special healthcare needs
- Temporary management of cavities before fillings or crowns
- Kids with multiple cavities requiring staged treatment
Parents searching for a kid-friendly dentist in Pune often choose SDF for its safety and effectiveness.
SDF vs Traditional Cavity Treatment
| Feature | SDF Treatment | Traditional Fillings |
| Pain | Painless | May involve discomfort |
| Drilling | Not required | Required |
| Time | Very quick | Longer appointments |
| Appearance | Black discoloration | Tooth-colored filling |
| Ideal for | Young & anxious kids | Cooperative children |

Latest Trends in Pediatric Dentistry Using SDF
Modern pediatric dentistry combines SDF with other advanced techniques such as:
- Preventive dentistry programs
- Behavior management techniques
- Minimal intervention dentistry (MID)
- Fluoride varnish applications
- Hall Technique crowns (when needed)
At Vanilla Smiles Dental Clinic, SDF is used as part of a comprehensive, child-centered treatment plan.
Why Choose Vanilla Smiles Dental Clinic, Shivaji Nagar, Pune?
✔ Specialized Pediatric Dentist for children
✔ Gentle, pain-free dental approach
✔ Advanced and evidence-based treatments
✔ Transparent communication with parents
✔ Child-friendly clinic environment
✔ Trusted dentist in Pune for kids’ dental care
Dr. Abhishek Soni is known for handling anxious and uncooperative children with patience and care, while Dr. Namrata A. Soni ensures restorative planning when needed.
Cost of SDF Treatment in Pune
The cost of Silver Diamine Fluoride (SDF) treatment in Pune is approximately ₹1200 per tooth.
The final cost may vary depending on:
- Number of teeth treated
- Severity of decay
- Need for follow-up applications
For exact pricing, a consultation at Vanilla Smiles Dental Clinic is recommended.
📞 Call Now: +91 7028029383 / +91 9860633281
Conclusion: A Gentle & Smart Way to Treat Cavities in Kids
Silver Diamine Fluoride (SDF) has revolutionized pediatric dentistry by offering a safe, painless, and effective way to manage cavities in children. For parents looking for a reliable dental clinic in Pune that prioritizes comfort and preventive care, Vanilla Smiles Dental Clinic in Shivaji Nagar is an excellent choice.
Book your child’s consultation today and protect their smile—without fear or pain
Find clinic here: Get direction
Call Now: +917028029383 / +919860633281
Address: Soni Capital, 2nd Floor, Near Shreyas Hotel, 1237, Apte Road, Shivaji Nagar, Pune, Maharashtra 411004 India



